Бесплатный телефон по России: +7(800)300-98-12
Диагностика болезни Паркинсона - это сложная врачебная задача, и она требует времени и проведения серий МРТ головного мозга. В неврологии это заболевание является отдельной наукой, по сути, эта тема - необъятная. Синдром Паркинсона или «дрожательный паралич» была впервые описана в начале XIX века Дж. Паркинсоном, который заметил у нескольких своих больных общие характерные изменения - тремор рук и так называемую «позу просителя».
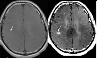
| МРТ здорового головного мозга | болезнь Паркинсона на МРТ |
![]() | ![]() |
Что такое болезнь Паркинсона
Болезнь Паркинсона (БП) - хроническое прогрессирующее нейродегенеративное заболевание, обусловленное в основном утратой дофаминсодержащих клеток нигростриарного пути. Основа ее заключается в том, что происходит дегенерация нейронов, вырабатывающих дофамин. Прежде всего, это дегенерация так называемых нейронов черной субстанции определенной зоны мозга, которая в дальнейшем приводит к нарушению контроля движения. По данным статистики в Санкт-Петербурге этот недуг встречается с частотой 130 чел. на 100 000 населения. Нередко заболевание остается не диагностировано на ранних этапах, поскольку явных морфологических признаков у него на этапе дебюта нет. Эта патология относится к возрастозависимым заболеваниям, и если брать пациентов старше 80 лет, то распространенность ее может достигать 3-4%.
Признаки болезни Паркинсона
Самым узнаваемым симптомом болезни Паркинсона считается тремор рук. Но это далеко не единственный признак патологии. Главным и обязательным симптомом Паркинсона является олигобрадикинезия, т.е. снижение скорости движения. Например, больной хуже начинает справляться с мелкой работой, уменьшается объем активных движений, снижается выраженность мимики. Именно эти симптомы должны навести на мысль о вероятности патологии, а вовсе не тремор рук.
Вторым признаком болезни Паркинсона является мышечная ригидность, при которой повышается тонус мышц, появляется скованность, а постоянное мышечное напряжение вынуждает человека находиться в какой-то определенной позе, появляется сутулость. Иногда больной начинает держать руки постоянно согнутыми в локтях. Такая скованность не дает человеку полноценно самообслуживать себя.
Также важным симптомом, который появляется, начиная со второй стадии болезни, является постуральная неустойчивость. Пациент не может вовремя остановиться, ему трудно делать какие-то движения назад, так как при этом он падает. Постепенно у больного теряется контроль над своим телом, и с каждым днем все сложнее удерживать равновесие. Многие пациенты называют эту неустойчивость головокружением, но это не совсем верно.
У болезни Паркинсона есть также и другие проявления. В частности, это некоторые нарушения вегетативной нервной системы - жирность кожи, повышенная беспричинная потливость, обильное слюнотечение, ортостатическая гипертензия, запоры, возможны проблемы с мочеиспусканием. Может быть снижение нюхательные функции, вплоть до полного исчезновения обоняния.
Немоторная симптоматика тоже является важным моментом при постановке диагноза болезни Паркинсона, потому что в неврологии и эндокринологии заболеваний, которые могут проявляться тремором рук, очень много - например, болезни щитовидной железы, нейродегенеративные заболевания головного мозга позднего возраста, для которых характерна клеточная гибель и постепенная атрофия отделов головного мозга. Поэтому, чтобы точно поставить диагноз болезни Паркинсона, врачу необходимо совокупно собрать признаки разных моторных и не моторных симптомов с обязательным наличием олигобрадикинезии среди них.
Паркинсон и паркинсонизм
Паркинсон и паркинсонизм — это два термина, которые часто путают, но они имеют разные значения:
-
Болезнь Паркинсона (или болезнь Паркинсона) — это хроническое нейродегенеративное заболевание, которое является одной из форм паркинсонизма. Оно характеризуется прогрессивным ухудшением двигательных функций, такими как тремор, ригидность (состояние жесткости мышц), замедленность движений (брадикинезия) и нарушение равновесия. Болезнь Паркинсона связана с утратой нейронов, вырабатывающих дофамин в мозге. Это основное заболевание, которое вызывает симптомы паркинсонизма.
-
Паркинсонизм — это более широкий термин, который обозначает группу симптомов, характерных для болезни Паркинсона, но может быть вызван и другими состояниями или заболеваниями. То есть, паркинсонизм — это синдром, включающий тремор, ригидность, брадикинезию и нарушение равновесия, который может наблюдаться при различных заболеваниях. Это могут быть другие нейродегенеративные болезни, сосудистые повреждения мозга, инфекции или последствия травм головы. В отличие от болезни Паркинсона, паркинсонизм может быть вызван не только потерей дофаминергических нейронов.
Таким образом, болезнь Паркинсона — это одна из причин, вызывающих паркинсонизм, но паркинсонизм может развиваться по многим другим причинам, кроме болезни Паркинсона.
Вклад МРТ в диагностику Паркинсона
Ранняя диагностика БП затруднительна, благодаря сходству на ранних стадиях с эссенциальным тремором, мультисистемной атрофией и прогрессирующим надъядерным параличом. МРТ в диагностике паркинсонизма до недавнего времени рассматривалась в основном с точки зрения исключения или подтверждения заболеваний, вызывающих вторичный паркинсонизм - опухолей, субдуральных гематом, сосудистого поражения мозга, гидроцефалии. Чтобы дифференцировать болезнь Паркинсона от других заболеваний врачи проводят МРТ головного мозга.
Ряд последних специальных МРТ-исследований показал связь деменции и когнитивных нарушений у больных Паркинсоном с объемными изменениями в черной субстанции, ядре Мейнерта, гиппокампе, а также снижение общего церебрального объема. На данный момент считается, что признаками болезни Паркинсона на МРТ снимках станет:
- атрофия черной субстанции, бледного шара и хвостатого ядра
- зона изменённого МР-сигнала, гиперинтенсивного на Т2-ВИ и FLAIR-ИП, слабо гипоинтенсивного в Т1-ВИ, повышения МР-сигнала на DWI.
Показывает ли МРТ болезнь Паркинсона
Поскольку единой точки зрения о причине развития данного заболевания пока в медицине нет, то его точная диагностика и лечение - весьма затруднительная задача. Здесь важную роль играет и детальный сбор анамнеза, и результаты аппаратных методов сканирования мозга. При подозрении на болезнь Паркинсона МРТ головного мозга следует проводить на высокопольном томографе мощностью не менее 1,5 Тесла. В ходе обследования МРТ покажет зоны аномального функционирования и анатомического строения. Прямых, явных признаков недуга врач-рентгенолог не увидит, однако есть характерные поражения черной субстанции мозга, которые очень часто отмечаются при данном заболевании. При болезни Паркинсона МРТ головы в первую очередь проводится для исключения других вероятных причин симптомов:
- демиелинизация;
- старческая деградация мозговых клеток;
- опухоли головного мозга;
- воспаления мозговых оболочек.
Как сделать МРТ головного мозга при болезни Паркинсона
Для точной диагностики болезни Паркинсона важна комбинация хорошего врачебного опыта невролога-психиатра и качественная МРТ диагностика. Единый центр записи на МРТ и КТ будет рад помочь Вам найти клинику, где бы Вы смогли пройти томографию головы на высокотехнологичном и точном оборудовании и в случае необходимости получили квалифицированную консультацию врача по результатам МРТ.
Список литературы
- Вейн A.M. Паркинсонизм / A.M. Вейн, B.JI. Голубев, Ю.Э. Берзиныш. -Р. : Зинатне, 1981.
- Голубев B.JI. Болезнь Паркинсона и синдром паркинсонизма / B.JI. Голубев, Я.И. Левин, A.M. Вейн. М. : МЕДпресс, 2000.
- Дифференциальная диагностика нервных болезней: руководство для врачей / Под ред. Г.А. Акимова, М.М. Одинака. — 3-е изд., испр. и доп. СПб. : Гиппократ, 2004.
- Левин О.С. Дифференциальная диагностика паркинсонизма / О.С. Левин, Н.В. Федорова, В.Н. Шток // Журн. неврологии и психиатрии. -2003. Т. 103, № 2.
- Meijer FJ, Goraj B. Brain MRI in Parkinson's disease. Front Biosci (Elite Ed). 2014;6:360-369
- Иллариошкин С. Н. Паркинсонизм с ранним началом. // Атмосфера: Нервные болезни 2006; №3
- Иллариошкин С.Н. Течение болезни Паркинсона и подходы к ранней диагностике. // Болезнь Паркинсона и расстройство движений: Руководство для врачей по материалам II Национального конгресса. Москва 21 -23 сентября 2011 г. М., 2011
- Левин О.С. Диагностика и лечение деменции в клинической практике. // М.: МЕДпресс-информ, 2010
- Benninger D.H., Thees S., Kollias S.S. et al. Morphological differences in Parkinson's disease with and without rest tremor. // J Neurol 2009; vol. 256
- Gerhard A., Brooks D.J. PET and SPECT Imaging in Atypical Parkinsonian Disorders. In: Litvan I. (eds) Atypical Parkinsonial disorders. // Totowa, New Jersey: Humana Press, 2005
- Dickson D.W., Fujishiro H., Orr C. et al. Neuropathology of non-motor features of Parkinson's disease. // Parkisonism and Related Disorders 2009; vol. 15 (suppl 3)
- Draganski B., Bhatia K.P. Brain structure in movement disorders: a neuroimaging perspective. // Current Opinion in Neurology 2010; vol. 23
- Beyer M.K., Janvin C.C., Larsen J.P. et al. A magnetic resonance imaging of patients with Parkinson's disease with mild cognitive impairment and dementia using voxel-based morphometry. // J Neurol Neurosurg Psychiatry 2007
- Литвиненко И.В., Одинак М.М. Нейровизуализация при паркинсонизме. // Болезнь Паркинсона и расстройство движений: Руководство для врачей по материалам I Национального конгресса. Москва 22-23 сентября 2008г. М., 2008
- Albanese A. Diagnostic criteria for Parkinson's disease. // Neurol Sci, 2003; vol.24
Информационные статьи о диагностике
ЕДИНЫЙ ЦЕНТР ЗАПИСИ НА МРТ И КТ





